専門外来
巻き爪・陥入爪
炎症を起こしている陥入爪の場合は、抗生剤の飲み薬や塗り薬で炎症を鎮めます。炎症を繰り返したり、歩行に支障がある場合は、根本的な処置を検討します。処置は局所麻酔を使って行うため、痛みなくすぐに受けることができます。麻酔後、膿や炎症のある部分をきれいにしてから、爪の横を爪の根元(爪母)まで切り取ります。爪母まで切除することで、再び同じ場所に爪が食い込むことを防ぎます。処置時間はおよそ10 分ほどです。終了後は、炎症を抑える抗生剤と痛み止めを服用していただきます。麻酔を使用するため処置中の痛みはなく、処置後も痛み止めの効果で強い痛みが出ることはほとんどありません。
巻き爪の症例




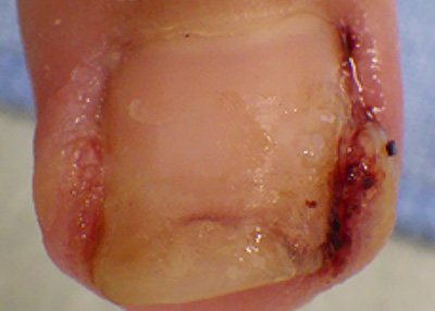
陥入爪の症例




粉瘤(おでき)・皮下腫瘤
粉瘤は、成人に多くみられる皮膚の良性腫瘍のひとつで、全身のどの部位にも生じることがあります。しばしば「脂肪のかたまり」と言われ、「脂肪腫」と混同されることがありますが、粉瘤の本態は内部に角質物が貯留した嚢腫状病変であり、「脂肪腫」とは異なります。
周囲との境界が明瞭な腫瘤で、表面の皮膚はおおむね正常皮膚色です。中央に臍窩がみられることがあり、時にここから悪臭を放つ角質内容物が排出されます。腫瘤は表面皮膚と癒着していますが、下床とは可動性があります。通常、痛みやかゆみがありませんが、細菌が入って炎症を起こすと、赤く腫れて痛みを伴うようになります。
炎症がない場合は経過をみることも可能ですが、炎症を繰り返す場合や、服の摩擦で刺激を受けやすい場所にできた場合、または見た目が気になる場合は治療をおすすめします。治療の基本は手術による摘出です。局所麻酔をして痛みを抑えたうえで、粉瘤を袋ごと取り除き、皮膚を縫合します。手術時間は短く、日帰りで行うことができます。
粉瘤腫の症例


炎症性粉瘤腫の症例




肛門周囲腫瘍・痔瘻(じろう)
直腸の下にある肛門陰窩と言う場所に細菌が侵入し、その炎症が肛門周囲(まわり)に広がって膿がたまり、(発熱、激しい痛み、はれ等)ができるのが肛門周囲腫瘍です。
外科治療で切開することにより膿が排泄され症状が改善します。その後一部の方が膿が通る道が残った状態を痔瘻と言います。
痔瘻は自然に治ることも多くはない為、何らかの処置が必要となる事があります。
肛門周囲膿瘍

発熱、痛みが激しい、座れない等の症状がある場合は、抗生剤の内服では改善しないことがあります。
当院では、激しい痛み等の早期改善をさせて頂くため当日に、局所麻酔を使わせていただき痛みを軽減し、切開し膿を出す、切開排膿(肛門周囲膿瘍切開排膿)と言う日帰り手術を行っております。
痔瘻(じろう)
痔瘻に関しては、治療が困難な場合は入院が必要となりますので、患者様と、ご相談させて頂き近くの専門病院をご紹介しております。